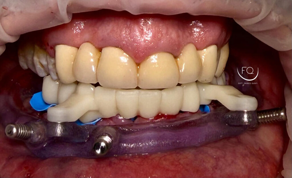
Oggi vi presento un caso di chirurgia computer guidata eseguito con Dima scomponibile.
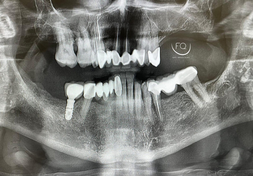
Dall’immagine iniziale è possibile apprezzare l’estrusione del gruppo incisivo inferiore il quale è stato corretta con la protesi provvisoria a carico immediato stampata in 3D.











