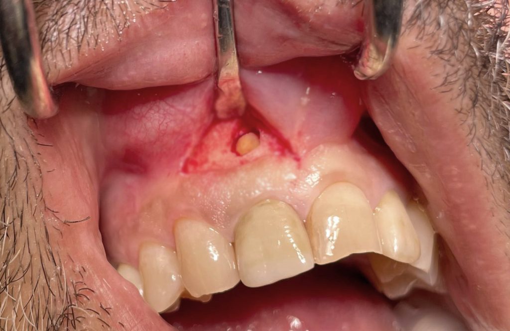
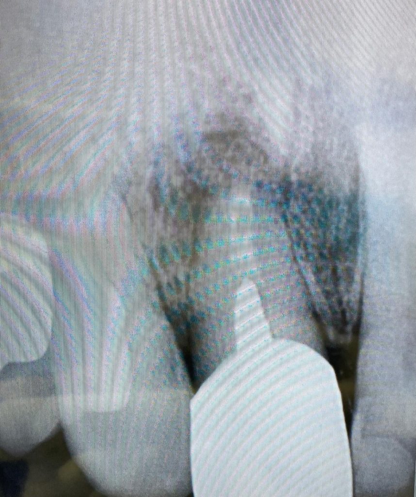
Oggi vi presento un caso di apicectomia dell’elemento 11 eseguito su un paziente che presentava una lesione periapicale.
Abbiamo trattato la lesione effettuando un’amputazione dell’apice radicolare, un’otturazione retrograda dell’apice e una sutura a conclusione dell’intervento.





