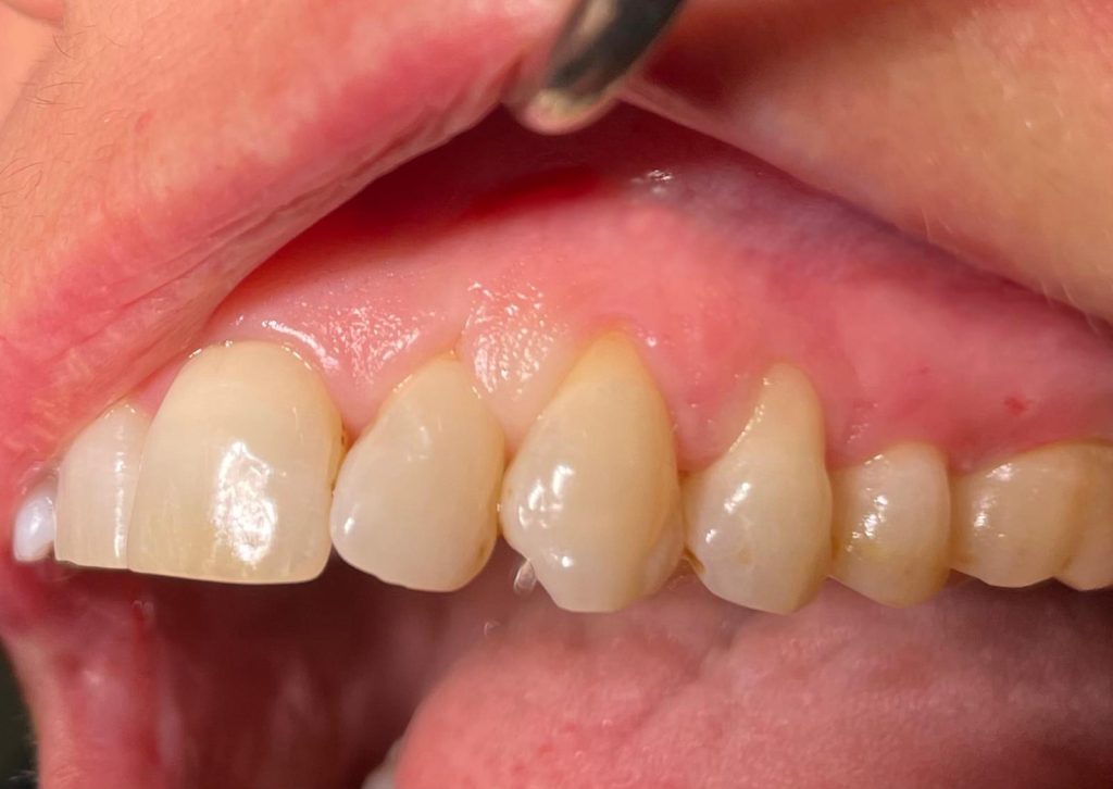
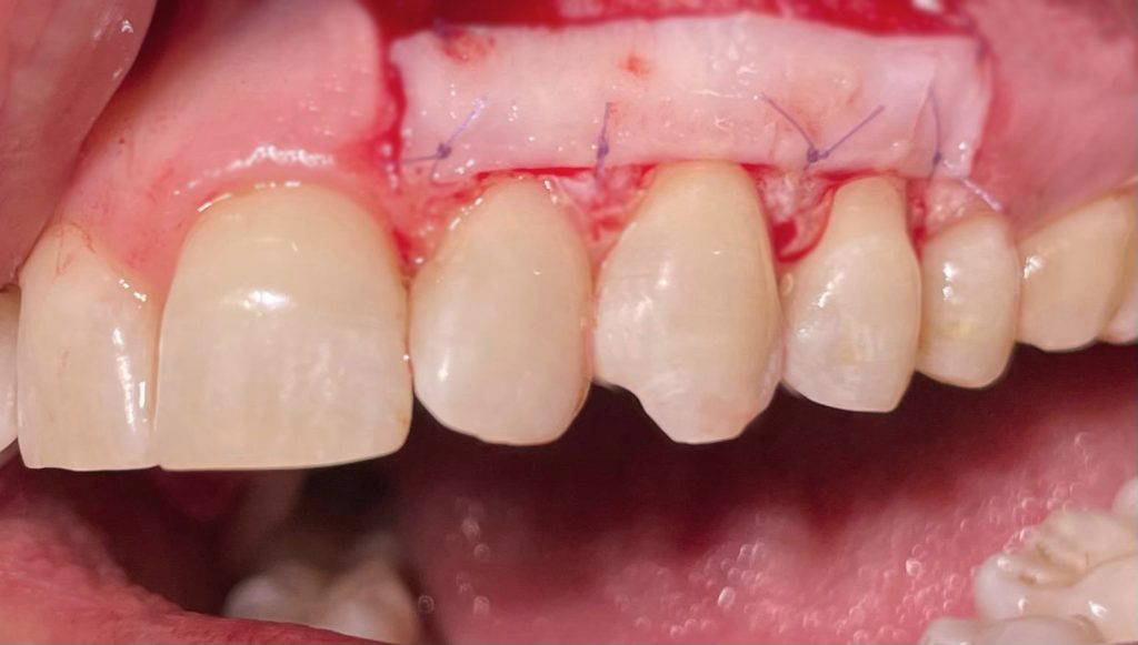
Questa settimana vi presento un caso di recessione multipla su denti naturali, trattato con lembo a scorrimento coronale (CAF).
Durante l’intervento è stato effettuato un prelievo di tessuto epitelio-connettivo dal palato, successivamente innestato sulle aree di recessione e suturato il lembo primario a copertura.




