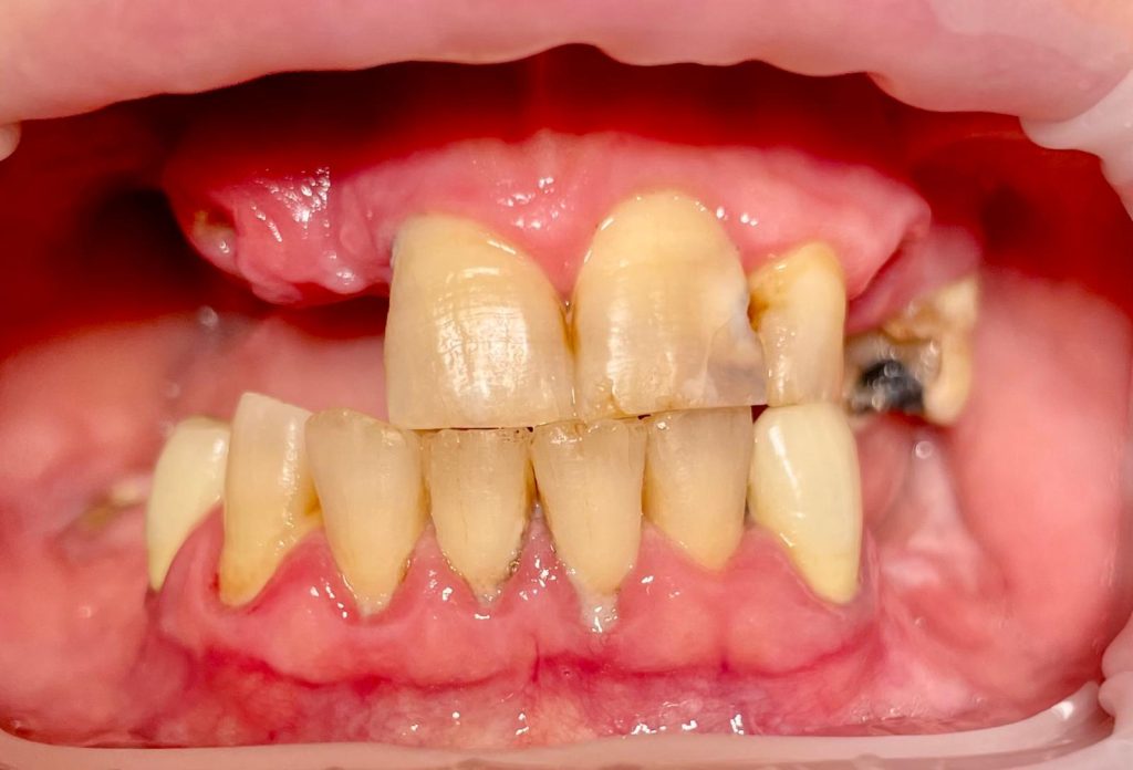
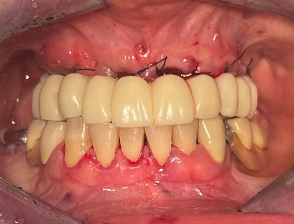
Questa settimana vi presento un caso di riabilitazione immediata dell’arcata superiore eseguita in chirurgia computer guidata con l’utilizzo di dime scomponibili.
L’intervento ha previsto l’estrazione degli elementi dentari, l’inserimento di 5 impianti nell’arcata superiore, il montaggio delle torrette provvisorie e la ribasatura del provvisorio nel cavo orale.
















