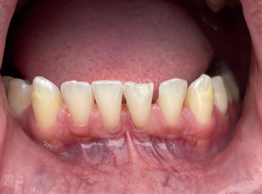
Questa settimana vi presentiamo il caso di frenulectomia del labbro superiore e inferiore eseguita con un laser KTP.
Nelle immagini, oltre alle fasi dell’intervento, è possibile osservare la guarigione dei tessuti dopo 10 giorni.







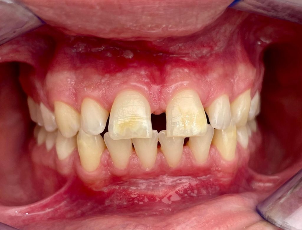
Questa settimana vi presentiamo il caso di frenulectomia del labbro superiore e inferiore eseguita con un laser KTP.
Nelle immagini, oltre alle fasi dell’intervento, è possibile osservare la guarigione dei tessuti dopo 10 giorni.







Oggi vi presento il caso di una riabilitazione fissa di un uomo di 87 anni che presentava problemi di masticazione...
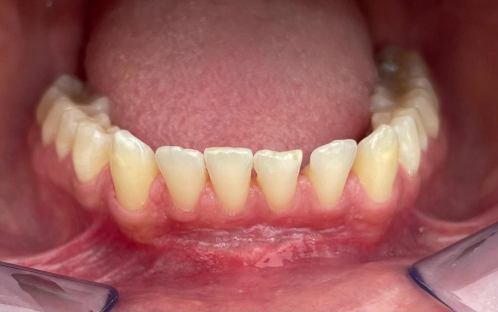
In questo caso è stata realizzata una copertura radicolare di un incisivo centrale inferiore innestando del tessuto connettivo prelevato dal...